Bệnh nhiễm khuẩn Legionella ở Gibraltar
Bốn ca bệnh đã được chẩn đoán xác định mắc bệnh nhiễm khuẩn do Legionella tại Gibraltar. Theo chính quyền Gibralta, 4 ca bệnh được chẩn đoán xác định ngày 01/12/2023, hiện tại 2 ca đã hồi phục, 2 ca đang điều trị tại Bệnh viện.

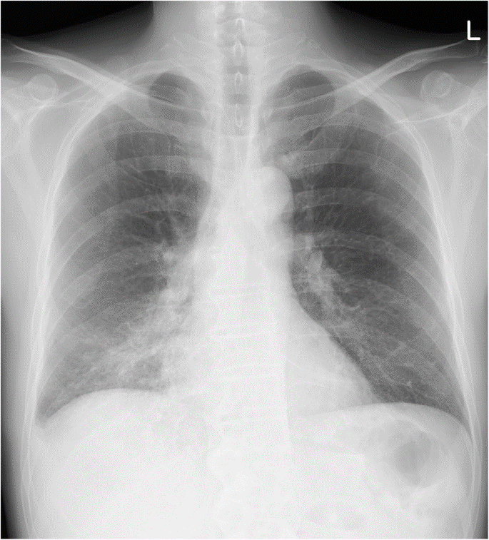
Hình ảnh tổn thương phổi do nhiễm vi khuẩn Legionella
Bệnh nhiễm khuẩn Legionella do vi khuẩn gây ra, bệnh thường lây lan ở những khu vực có nước tù đọng, hoặc thiếu nguồn nước sạch. Nhiễm khuẩn Legionella dẫn đến khó thở và có thể gây viêm phổi.
Theo truyền thông Gibraltar, cơ quan y tế cho biết chưa tìm thấy mối liên hệ giữa 4 ca bệnh và cũng chưa tìm thấy nguồn truyền bệnh từ các thiết bị, dụng cụ, toà nhà hay địa điểm ghi nhận ca bệnh.
Bà Helen Carter – Giám đốc Y tế công cộng khuyến cáo người dân phòng bệnh bằng cách: đối với các vòi nước máy đã lâu không xử dụng (từ 7 ngày trở lên) nên xả nước 2 phút trước khi sử dụng. Dùng các chất lỏng chuyên dụng để rửa/vệ sinh cửa kính ô tô, thay vì nước máy.
Hiện tại, cơ quan chức năng đang tiếp tục điều tra tìm kiếm nguồn truyền bệnh. Được biết, trong tháng 11/2023, một số khu vực ở Châu Âu cũng ghi nhận ca bệnh nhiễm Legionella như Italia, Latvia, …
(Dịch theo Diario Area - Gibraltar - https://www.diarioarea.com/2023/12/03/cuatro-casos-confirmados-de-legionela-en-gibraltar-1/)
Phạm Thị Cẩm Hà